Menu Left
-
NOTICIAS
Tipo de noticia
Tags Destacados
-
La Asociación
Noticias destacadas de La Asociación
- Información para pacientes
-
Campañas educativas
-
Comunicados de prensa
Comunicados de la asociación
Casos Clínicos
Sobrescribir enlaces de ayuda a la navegación
- Inicio
- Casos Clínicos
Casos clínicos
Hace 4 years
Casos clínicos
Hace 4 years
Casos clínicos
Hace 4 years
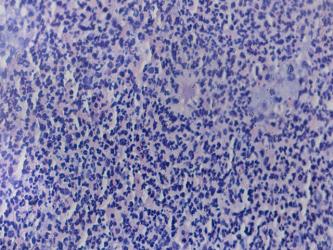
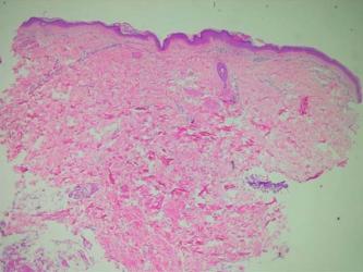
Evaluación del caso.
Identificación. Paciente femenina 10 años
Natural y procedente: Soacha-Cund
Ocupación: estudiante.
Motivo de Consulta: “Tiene unas ronchas”
Enfermedad Actual: Inicio espontáneo hace 3 meses de lesiones pruriginosas, descamativas