Menu Left
-
NOTICIAS
Tipo de noticia
Tags Destacados
-
La Asociación
Noticias destacadas de La Asociación
- Información para pacientes
-
Campañas educativas
-
Comunicados de prensa
Comunicados de la asociación
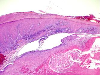
Casos Clínicos
Sobrescribir enlaces de ayuda a la navegación
- Inicio
- Casos Clínicos
Casos clínicos
Hace 3 years
Casos clínicos
Hace 3 years
Casos clínicos
Hace 3 years
Casos clínicos
Hace 3 years